High-reliablity
pharma & biotech
vision inspection
Pharma & Biotech Vision Inspection with High Quality Reliability
Pharma & Biotech Vision Inspection with High Quality Reliability
Neurocle’s vision inspection system detects and classifies microscopic cells, foreign materials, and shape anomalies in real time throughout pharmaceutical and biotech production. We enable a reliable, high-precision quality inspection by applying consistent inspection standards.

Neurocle's solution clients
Neurocle's solution clients
Fields of application
AI vision inspection applications from microorganism detection to formulation quality inspection
Biological detection
Wastewater microorganism inspection and classification
Large-scale pathology images automatic interpretation
Exterior defect inspection
Pill sorting machine defect inspection
Foreign particle inspection in powder injections
Vial/ampoule internal contamination inspection
Content leakage and sealing defect inspection
Ampoule particulate and sediment inspection
Exterior defect inspection
Pill sorting machine defect inspection
Foreign particle inspection in powder injections
Vial/ampoule internal contamination inspection
Content leakage and sealing defect inspection
Ampoule particulate and sediment inspection
Formulation quality inspection
Orodispersible Film (ODF) defect inspection
Tablet coating uniformity inspection
Tablet thickness inspection
Tablet surface inspection
Formulation quality inspection
Orodispersible Film (ODF) defect inspection
Tablet coating uniformity inspection
Tablet thickness inspection
Tablet surface inspection
Biological detection
Wastewater microorganism inspection and classification
Large-scale pathology images automatic interpretation
Exterior defect inspection
Pill sorting machine defect inspection
Foreign particle inspection in powder injections
Vial/ampoule internal contamination inspection
Content leakage and sealing defect inspection
Ampoule particulate and sediment inspection
Formulation quality inspection
Orodispersible Film (ODF) defect inspection
Tablet coating uniformity inspection
Tablet thickness inspection
Tablet surface inspection
Use case
Neurocle vision inspection use cases in pharma & biotech manufacturing
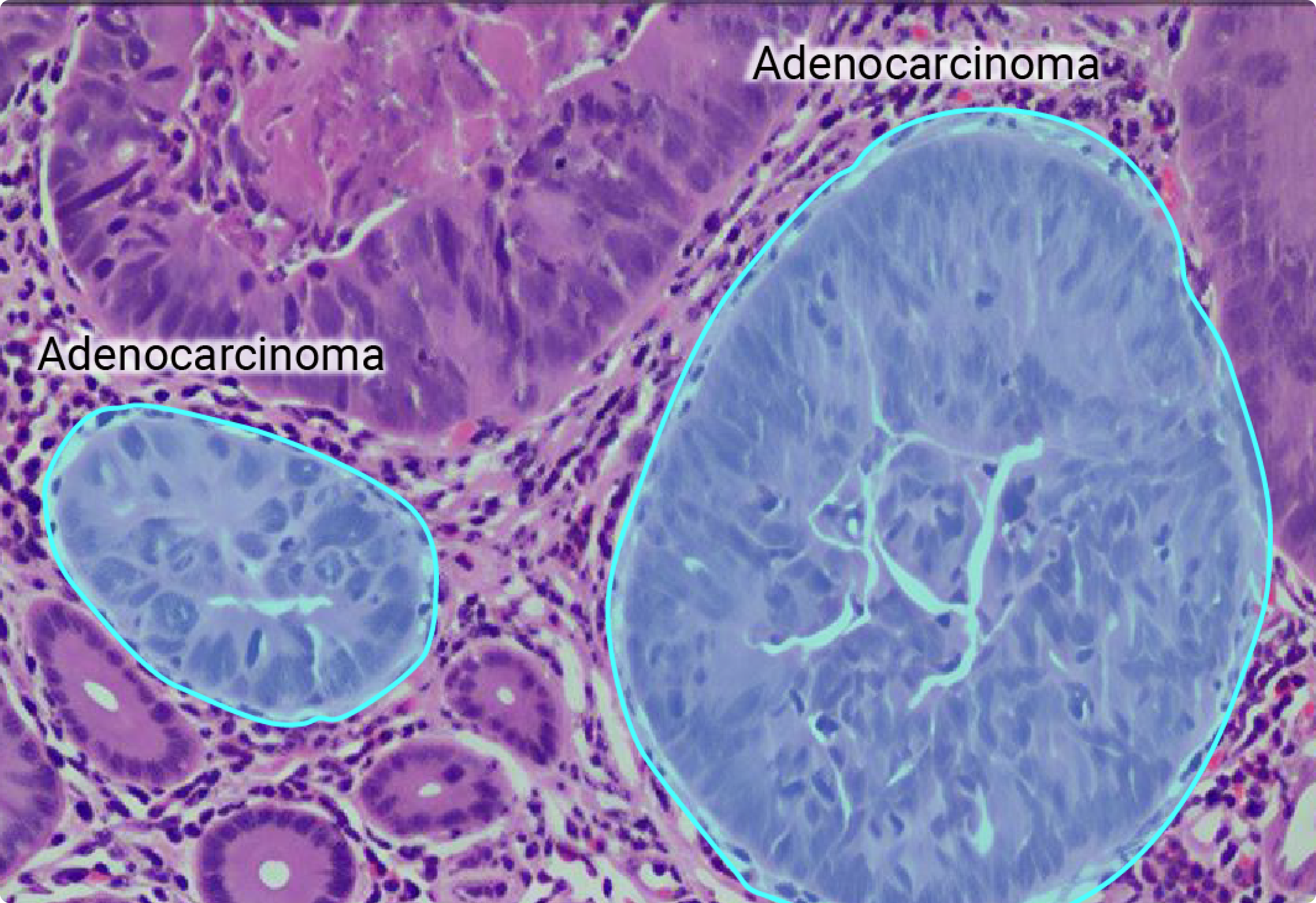
Biological detection
Microscopic detection of cells and microorganism presence and morphology for early-phase anomalies.
Biological detection
Microscopic detection of cells and microorganism presence and morphology for early-phase anomalies.
Exterior defect inspection
Detect foreign materials, breakage, and sealing defects in injectables, liquid pharmaceuticals, and solid dosage forms.
Exterior defect inspection
Detect foreign materials, breakage, and sealing defects in injectables, liquid pharmaceuticals, and solid dosage forms.
Formulation quality inspection
Ensures consistent quality standards by precisely inspecting formulation size, thickness, and shape uniformity, minimizing variations even in mass-production environments.
Formulation quality inspection
Ensures consistent quality standards by precisely inspecting formulation size, thickness, and shape uniformity, minimizing variations even in mass-production environments.

Orodispersible Film (ODF) defect inspection
Simultaneous detection of ODFs and its defects in real time.

Orodispersible Film (ODF) defect inspection
Simultaneous detection of ODFs and its defects in real time.
Main features
Key advantages of Neurocle's pharma & biotech vision inspection
Accurate detection across all sizes and shapes
Detects microscopic targets such as cells, microbes, foreign matter and shape defects in injectables with precision regardless of size or shape.
Accurate detection across all sizes and shapes
Detects microscopic targets such as cells, microbes, foreign matter and shape defects in injectables with precision regardless of size or shape.
Flexible integration with existing inspection equipment
Allow rapid deep learning inspection deployment via integration with existing inspection equipment and imaging environments including microscopes and viewers.
Flexible integration with existing inspection equipment
Allow rapid deep learning inspection deployment via integration with existing inspection equipment and imaging environments including microscopes and viewers.
Insights from Neurocle
Find out more about our latest news, technical insights and industry trends.
Insights from Neurocle
Find out more about our latest news, technical insights and industry trends.

Neuro-Tech
[Deep Learning 101] Understanding Deep Learning Through Images (Part 4): Labeling and Data for Model Performance

Neuro-Trend
April Trends – Is Korea’s Manufacturing Revenue Expected to Decline in Q2? (AI Talent / HBM / Semiconductor / Manufacturing)

Neurocle News
[Newsletter Vol. 5] Captivating the World! Neurocle’s AI Vision Recognized on the Global Stage
Insights from Neurocle
Find out more about our latest news, technical insights and industry trends.

Learn more about Neurocle's
Auto Deep Learning technology

Learn more about Neurocle's
Auto Deep Learning technology
Want vision inspection insights?
Find out more in our monthly newsletter.
7F, 30, Godeokbizvalley-ro 4-gil, Gangdong-gu, Seoul, 05203, Korea
+82-2-6952-6897
info@neuro-cle.com
+82-2-6952-6898
neurocle@neuro-cle.com

© Copyright All Rights Reserved. Neurocle Inc. 2026

Learn more about Neurocle's
Auto Deep Learning technology
Want vision inspection insights?
Find out more in our monthly newsletter.
7F, 30, Godeokbizvalley-ro 4-gil, Gangdong-gu, Seoul, 05203, Korea
+82-2-6952-6897
info@neuro-cle.com
+82-2-6952-6898
neurocle@neuro-cle.com










